

Trusted by 10,000+ Patients | Flexible Payments | Same-Day Appointments

Looking for an alternative to braces?
Clear Aligners at super care dental and cosmetics. This comfortable & invisible option lets you straighten your teeth with confidence and now affordable as well.
As it's for $29/week





World-Class Dentistry, Transparent Prices, No Surprises
Every treatment at Omega Dental & Cosmetics is delivered with advanced technology, decades of experience, and complete pricing transparency. Here’s what we do—and what it costs.



We use digital planning and 4th-generation titanium implants to restore missing teeth with strength and longevity. Each implant includes 3D scanning, surgery, abutment, and crown—done under one roof for full control and comfort.
Offer : Complete single dental implant for $3,999, including crown and procedure
Finance Option: From $50/week
Ideal for full arch replacement, the All-on-4 system offers fixed, non-removable teeth supported by four strategically placed implants. Patients regain smile function in one week—with all steps performed in-house by experienced clinicians.
Offer: $30,000 per arch | $55,000 for both arches
Includes surgery, sedation, temporary and final prosthetics, and full lab support
We craft ultra-thin porcelain laminates custom-fitted to your teeth. Whether you're correcting discolouration, worn enamel, or small gaps, veneers give a flawless smile with minimal prep and long-lasting results.
Offer : $9,000 for 6 veneers | $12,000 for 10 veneers
Our orthodontic solutions include clear aligners, metal braces, and ceramic options. Each plan is custom-designed to gently reposition your teeth with predictable results and minimal lifestyle disruption.
Offer : Fixed pricing of $7,000 for either braces or clear aligners (includes consultation, planning, and follow-ups)
We remove impacted or problematic wisdom teeth using 3D diagnostics and minimally invasive surgery. Whether it’s a single tooth or all four, our method ensures faster healing and less discomfort.
Offer : $2,000 for removal of all 4 wisdom teeth
Our rotary endodontic systems remove infection, preserve the natural tooth, and prevent the need for extraction. We use precision techniques to reduce discomfort and complete most treatments in 1–2 visits.
Offer : $2,000 per molar
From routine check-ups to fluoride, gum care, and hygiene planning, we support your oral health long before problems start. We use ultrasonic scalers to remove plaque and tartar effectively.
Offer : $99 per session or Gap-Free for eligible health fund members
Toothache, swelling, cracked teeth, or trauma? We reserve daily emergency slots and use digital imaging to diagnose and treat issues on the spot—including abscesses, broken restorations, or injuries.
Offer : No extra fee for same-day emergency consult if treatment proceeds

Your Trusted Neighbourhood Dental Clinic
Omega Dental & Cosmetics was established in 2010 with a mission to deliver advanced, ethical, and affordable dental care to the Jordan Springs community. Conveniently located in the Jordan Springs Shopping Centre, our clinic features the latest digital diagnostic tools, fully sterilised operatories, and a warm, multilingual team.
We believe that great dentistry should feel personal. Our team takes time to understand your concerns, walk you through every step, and create a stress-free experience. We’re proud to serve patients from all walks of life, whether it’s a child’s first visit or a senior’s consultation for dentures.
The clinic is family-owned and operated, which means decisions are made with care. Our focus is always on providing honest advice, high-quality treatment, and service you’d confidently recommend to a friend.
Skilled. Trusted. Patient-Focused.
At Omega Dental & Cosmetics, every smile starts with a team that genuinely cares. Our dentists and support staff bring clinical expertise, compassion, and honest communication to every appointment.

Principal Dentist
Dr Kozman specialises in cosmetic and restorative dentistry, with advanced training in full mouth rehab, All-on-4 implants, orthodontics, and same-day crowns. Known for simplifying complex treatments, he combines digital precision with a calm, clear approach that patients trust.

Principal Dentist
With a decade of experience, Dr Fady focuses on general and cosmetic care, root canals, wisdom teeth, and children’s dentistry. His methodical style and gentle touch help patients feel at ease - no matter how simple or complex the case.

Associate Dentist
Dr Ann-Marie provides gentle, prevention-first care. She’s especially loved by young families for her warm presence and patient-centred advice.

Tayla, Samantha, and Lynette ensure every treatment is smooth, safe, and comfortable. At the front desk, Agnes makes your visit stress-free from the moment you walk in.
Why Choose Us for Your Dental Care










Your Journey to a Healthy Smile – Made Easy
Book your free consultation

Receive Your Personalised Treatment Plan

Begin Treatment with Confidence
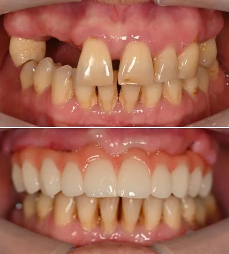
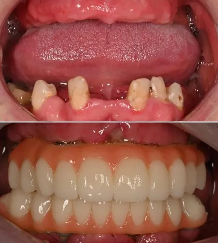
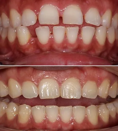
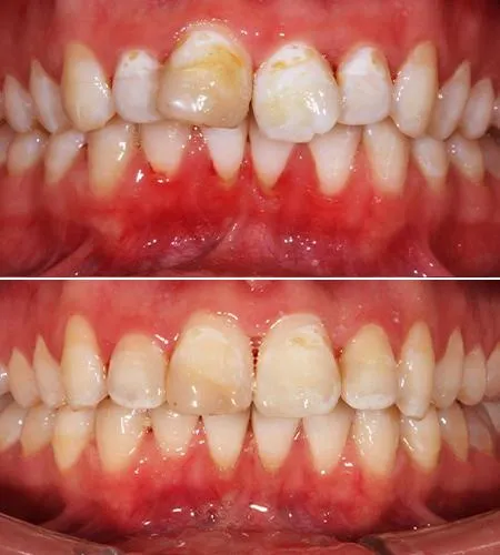
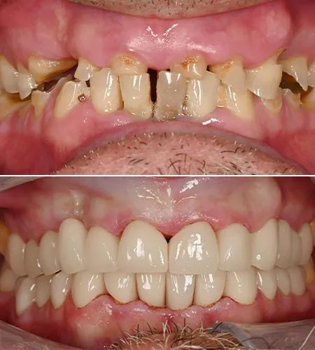
Real Results. Real Smiles.
Swipe through stunning transformations by our dental team. From subtle enhancements to dramatic full-arch restorations, every smile tells a story. All procedures shown were completed in our clinic with real patients.






What Our Happy Patients Say

I was nervous about getting dental implants, but Dr. Fady explained everything clearly and made the whole process smooth. Couldn’t be happier with the results!
— James P.

My son had his first ever dental visit with Omega Dental. They made him laugh and feel safe the whole time. We’ll never go anywhere else.
— Natasha D.

The team went above and beyond during my emergency. I walked in with pain and walked out relieved.
— Priya K.

I used to hate the dentist, but now I look forward to my visits. Friendly staff, no pressure, and they genuinely care about your wellbeing.
— Liam S.

Never felt judged or rushed here. Doctor and the front desk team treat you like a person, not a number. Five stars!
— Tasha M.









Got Questions? We’ve Got Answers
We use gentle techniques and modern an aesthetics to ensure your visit is comfortable. For nervous patients, we also offer sedation.
Yes, we treat patients of all ages and offer tailored care for toddlers, teens, adults, and seniors.
Absolutely. We support AfterPay, ZipMoney, and flexible in-house EMIs for most major procedures.
Most check-ups take 30–40 minutes. Treatments vary depending on complexity.
Yes, walk-ins are welcome. However, we recommend booking to avoid waiting.
Yes, we’re open 6 days a week and reserve slots for emergencies.
No judgement here. We’re just glad you’re ready to start again. We'll guide you step-by-step.
Yes. Many of our patients are busy parents. We’re happy to accommodate and even keep little ones entertained.
Book Your Appointment in Just 30 Seconds
Shop T13 Jordan Springs Shopping Centre. 61-63 Water Gum Dr. Jordan Springs NSW 2747
